Skip to main content

TS2

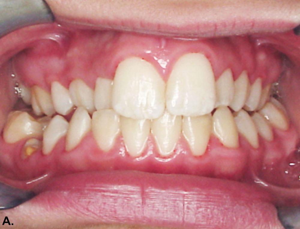
Open Bite Corrector

TS2 è un dispositivo avanzato per la correzione rapida del morso aperto, con risultati ottenibili in circa 4–6 mesi.

Le principali caratteristiche dei TS2 sono:

  • Nove protuberanze arrotondate che prevengono la spinta linguale.
  • Basetta di incollaggio mesh da 80 gauge per un’elevata resistenza al distacco.
  • Sei sottosquadri per l’utilizzo di elastici per cross-bite nel trattamento del morso aperto laterale, condizione che frequentemente richiede espansione mascellare.
  • Inibitore linguale di dimensioni ridotte, progettato per favorire una corretta igiene orale.

Come funziona

Il meccanismo d’azione di TS2 si basa sulla generazione di una risposta riflessa condizionata negativa al posizionamento anteriore della lingua, paragonabile al cosiddetto “effetto piastra calda”.

Grazie alle estremità arrotondate delle nove protuberanze, la lingua non subisce lesioni, né vengono danneggiati i guanti o la cute dell’operatore.

La sensazione percepita è simile a quella di una superficie ruvida, che agisce come stimolo propriocettivo e promemoria funzionale, inducendo la lingua a mantenersi retratta e lontana dall’area del morso aperto.
Questo consente a TS2 di agire efficacemente in combinazione con elastici box anteriori (5/16”, 4,5 oz) per una rapida chiusura del morso aperto (ROC).

Nei pazienti con morso aperto laterale, in cui TS2 viene posizionato su premolari e molari, è possibile associare elastici per cross-bite, generalmente 1/4”, 4,5 oz, per limitare ulteriormente il posizionamento laterale della lingua mentre l’espansione mascellare viene eseguita simultaneamente.
È fondamentale che il paziente venga istruito, fin dal giorno del posizionamento di TS2, a deglutire mantenendo la lingua correttamente appoggiata al palato.

Come si usa

Dal punto di vista clinico, i TS2 vengono incollati nel terzo medio delle regioni canino-canino superiori e inferiori.

Per gli anteriori superiori, la posizione raccomandata è leggermente gengivale rispetto al terzo medio, così da consentire agli incisivi superiori corretti di avvicinarsi progressivamente al contatto con gli incisivi inferiori durante la rapida chiusura del morso aperto.

Dopo il primo bonding degli attacchi, vengono posizionati complessivamente 12 TS2.

In ogni trattamento del morso aperto, TS2 viene utilizzato in associazione con elastici box anteriori da 1/4”, 4,5 oz, applicati dagli aspetti vestibolari degli incisivi laterali superiori ai canini inferiori, al fine di facilitare una chiusura rapida ed efficace del morso aperto.

Questo approccio consente la realizzazione di un sistema terapeutico a quattro componenti per la correzione rapida del morso aperto.

Quando si utilizza

TS2 è indicato in pazienti di tutte le età, sia nel trattamento intercettivo precoce in età pediatrica sia nei pazienti adulti.

Il momento ideale per il posizionamento è contestualmente all’applicazione di attacchi autoleganti attivi, generalmente posizionati sugli aspetti vestibolari.

TS2 e gli attacchi autoleganti attivi agiscono in modo sinergico con fili i-Arch dedicati, caratterizzati da una dimensione verticale maggiore rispetto a quella orizzontale, al fine di avvicinarsi al centro di resistenza e ottenere precocemente il controllo incisale e i momenti di torque necessari alla correzione del morso aperto.

I fili incorporano:

  • Curva di Spee nelle arcate inferiori
  • Curva di compensazione inversa nelle arcate superiori

per favorire ulteriormente la re-intrusione degli incisivi.
La re-estrusione incisale con TS2 è facilitata dall’allineamento dei denti anteriori, che consente l’applicazione di elastici box vestibolari, i quali contribuiscono anche al controllo della funzione linguale.

Con l’utilizzo di questo sistema a forze leggere, non è stato osservato alcun riassorbimento radicolare clinicamente significativo, grazie alla riduzione delle forze linguali anteriori, verticali e laterali, spesso innaturali e multidirezionali.

TS2

Open Bite Corrector
TS2 è un dispositivo per la correzione del morso aperto

Dimensioni Ridotte

Le dimensioni miniaturizzate aumentano il comfort e l’accettazione da parte del paziente.

Resistenza di Incollaggio

Grazie alla basetta di incollaggio in mesh da 80 gauge, la resistenza di adesione è aumentata e il rischio di distacco è ridotto.

Uso Multiplo

TS2 funziona efficacemente come inibitore linguale e, grazie ai suoi sottosquadri, è utile anche nella correzione dei cross-bite.

Rely on Manufacturing

Da oltre vent’anni soluzioni ortodontiche 100% italiane.

Contatti